1. 교정치료의 기초상식

1. 교정치료의 기초상식


목차

① 교정치료란? 
② 부정교합이란 무엇인가? 
③ 교정치료를 해야 하는 경우 
④ 교정치료는 왜 받아야 하나요? 
⑤ 교정치료는 언제 받아야 하나요? 
⑥ 교정치료 중에 가장 주의해야 할 사항이 있다면? 
⑦ 교정치료는 아픈가요? 
⑧ 교정치료 환자의 올바른 치아 관리법


① 교정치료란?

교정치료에 관한 학문인 치과교정학은 영어로 ‘Orthodontics’라 합니다. 어원이 가진 뜻 처럼, 치아를 바르게 하는 학문이라고 할 수 있습니다. 


하지만, 교정치료란 단순히 비뚤어진 치아(덧니, 뻐드렁니, 옥니 등)를 가지런히 하는 것만을 의미하지는 않습니다. 성장 과정에서 발생할 수 있는 여러 가지 부조화로 인하여 턱의 비대칭, 위턱 또는 아래턱의 과잉성장이나 저성장 된 상태가 발생하였을 때 이를 바로잡아서 정상적인 기능을 발휘하게 하고, 건강한 구강조직 및 아름다운 얼굴 모습을 만들어 주는 것입니다. 


이를 위해서는 부정교합의 원인을 찾아내고, 성장을 예측하여 적절한 치료 목표와 계획을 세운 후에, 교정 장치와 교정력을 사용하여 뼛속에서 치아를 이동시키거나 성장하고 있는 뼈의 복잡한 과정에 개입하여 성장 방향이나 성장량을 변화시키는 등 매우 전문적인 지식과 경험이 요구됩니다. 따라서 여러 해 동안의 집중적인 교육과 훈련이 따라야만 교정의가 될 수 있습니다. 미국에서도 치과에서는 가장 먼저, medical 쪽 분야를 모두 합쳐서도 두 번째로 전문의제도를 시행한 것이 바로 치과교정 분야였습니다. 


미국 교정학회지의 표지에도 아래와 같은 문구를 보실 수 있습니다. 

Orthodontics “Dentistry’s first specialty” 


② 부정교합이란 무엇인가? 

‘부정교합’이란 ‘정상교합’에 반대되는 의미를 갖는 말입니다. ‘정상교합’이 아닌 것을 ‘부정교합’이라 지칭하는 것이기 때문에 ‘정상교합’의 의미를 이해한다면 ‘부정교합’이 무엇인지 쉽게 이해할 수 있을 것입니다. 


‘정상교합’이란, 학문적으로는 여러 가지 어려운 의미들도 포함하고 있지만 이해하기 쉽게 말씀드리면, ‘위, 아래 치아의 개수에 이상이 없고, 치아들이 벌어지거나 회전되거나 겹쳐져 있지 않으며, 위, 아래 치아들이 긴밀한 교합 관계를 이루고 있어 씹는 기능을 수행함에 있어서 기능적으로 이상이 없는 경우를 말하며, 여기에 위턱과 아래턱의 위치 관계에도 이상이 없어 심미적으로도 자연스러운 얼굴 모습을 갖는 경우’를 말합니다. 


‘부정교합’은 여기에 반대되는 개념이라 생각하시면 됩니다. ‘치아 개수에 이상이 있거나, 치아들이 벌어지거나 회전되거나 겹쳐져 있고, 위, 아래 치아들이 잘 맞지 않아 씹는 기능에 이상이 있는 경우를 말하며, 위턱과 아래턱의 위치 관계에 이상이 있어(무턱, 주걱턱 혹은 안면 비대칭 등) 심미적이지 못한 얼굴 모습을 갖는 경우’를 말합니다. 

이제 부정교합에 대해 이해하셨다면 일반인들이 가장 많이 궁금해하는 질문들을 알아보겠습니다.

“우리 아이가 부정교합이라고 하는데, 꼭 교정치료를 받아야 하나요?” 

부정교합이면 교정치료를 통해 정상교합으로 만들어 주는 것이 필요합니다. 그렇게 함으로써 기능적, 심미적으로 부족한 점을 개선해 주는 것이 좋습니다. 

“부정교합은 교정치료가 어려운가요?” 

부정교합이어서 교정치료가 어려운 것은 아닙니다. 부정교합 중에서 교정치료가 조금 더 어려운 케이스가 있고 상대적으로 조금 더 쉬운 케이스가 있는 것입니다. 

“부정교합이면 양악 수술까지 해야 하는 건가요?” 

부정교합이라고 해서 꼭 양악 수술까지 받아야 하는 것은 아닙니다. 부정교합 환자 중에서 치아 교정만으로는 치료하기 어렵거나 안모 개선이 어려운 경우에, 양악 수술(악안면 교정 수술)을 동반하여 치료하는 경우가 있는 것입니다. 

일반인들이 부정교합에 대해 정확히 이해하기는 쉽지 않습니다. 부정교합이 조금이라도 의심된다면 망설이지 마시고 교정과 의사를 찾아 상담을 받으시는 것이 가장 좋습니다! 


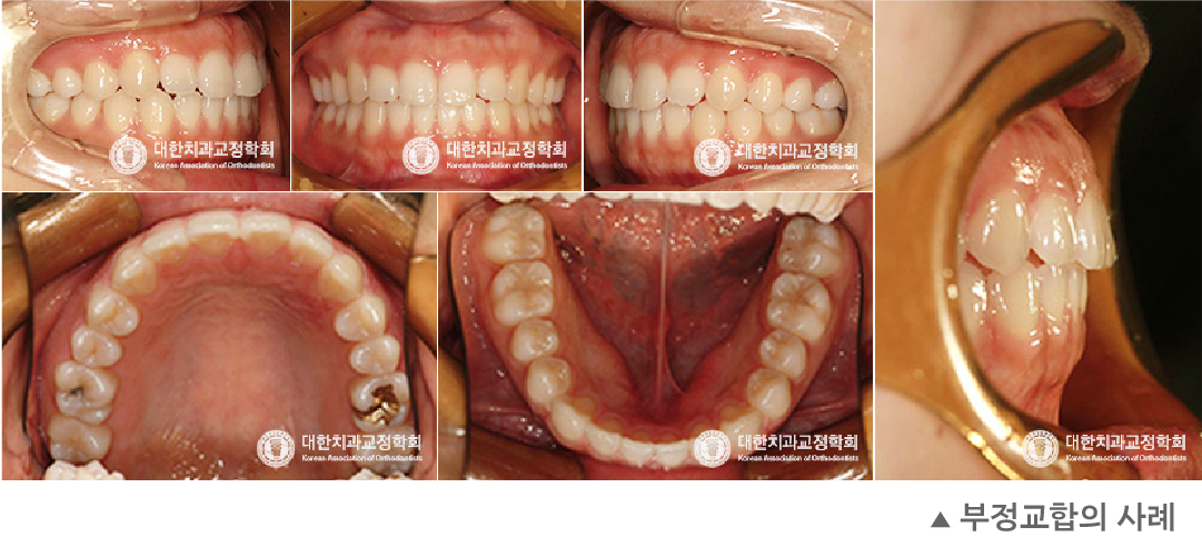
③ 교정치료를 해야 하는 경우

교정치료를 해야 하는 사례들입니다. 하단의 이미지를 참고해주세요.  


④ 교정치료는 왜 받아야 하나요? 
● 평생의 치아 건강

치열이 고르지 못하면 칫솔질이 어렵기 때문에, 치아우식증(충치)이나 치주질환(풍치, 잇몸병)이 발생하기 쉽습니다. 치아의 마모가 불규칙하게 나타나기 쉽고, 음식물을 잘 씹지 못하게 되지요. 

● 밝은 성격과 적극적인 태도 

웃을 때 손으로 입을 가리게 되지 않나요? 가지런하지 못한 치열로 이야기할 때 소극적으로 바뀌지는 않나요? 교정치료를 통하여 치열에 관해 평소에 느끼던 콤플렉스를 해소함으로써 적극적이고 밝은 성격을 가지게 되며, 일상생활에서도 더 자신감 있게 다른 사람을 대하게 됩니다. 감수성이 예민한 청소년기나, 사회생활을 하시는 성인에게 모두 긍정적인 효과를 줄 수 있습니다. 

● 또렷하고 명확해지는 발음 

발음은 어떻게 보면 습관이라서 고치기 쉽지 않습니다. 아래 치아가 위 치아보다 앞으로 나오는 경우, 위아래 치아 사이가 벌어져 있는 경우 등 몇몇 부정교합에서는 발음이 이상하게 나오기도 합니다. 이런 경우는 교정치료를 통해 부정교합을 고쳐주면, 발음도 또렷해지게 된답니다. 

● 습관 개선을 통한 올바른 치아 관리 

얼굴의 모습도 바뀌게 됩니다. 수술을 동반한 치료를 받는 경우 긴 아래턱이나 무턱 등의 얼굴 모습을 고칠 수 있습니다. 어린이들이 손가락 빨기 등의 나쁜 습관이 있는 경우, 부정교합이 더 심해질 수 있습니다. 교정치료를 통해 습관도 고칠 수 있게 됩니다. 보철 치료 이전에 교정치료를 통하여 더욱 건강한 치아를 간직할 수 있게 됩니다. 


⑤ 교정치료는 언제 받아야 하나요?
▶ 적절한 시기란, 여러분이 교정치료를 받기로 결정하는 바로 그 순간입니다.

부정교합의 종류에 따라 적절한 시기는 모두 다릅니다. 어떤 경우에는, 만 3~5세의 매우 어린 나이에도 교정의사의 검사가 필요한 경우가 있습니다. 


성장기에 교정치료를 받는다면 단순한 치아 배열의 교정뿐 아니라, 악골(턱뼈)과 안면 골의 정형적 치료가 가능하므로 보다 양호한 결과를 얻을 수 있습니다. 골격적인 문제가 있다면 어릴 때 시작할수록 좋은 결과를 얻게 되는 경우가 많지요. 단순히 덧니로 인한 부정교합은 영구치열이 모두 형성된 뒤인 12~13세 이후에 하는 것이 좋습니다. 


이러한 치료 시기의 결정은 자세한 검사와 전문의의 결정으로 이루어져야 합니다. 교정치료는 뼈에 심어진 치아를 뼈 사이로 이동시키는 것이라, 아무래도 대사작용이 활발하고 성장 발육이 왕성한 청소년기에 더 쉽게 치아를 움직일 수 있습니다. 성인의 경우 가지런한 치열이나 안모의 개선을 위해서 내원하시게 되는데, 교정치료에서 늦은 나이란 없습니다.


⑥ 교정치료 중 주의해야 할 사항
▶ 구강 청결이 가장 중요합니다. 

교정 장치는 구조가 복잡하여 음식물 찌꺼기가 치아와 장치 사이사이에 끼기 쉽습니다. 철저하게 칫솔질을 하지 않는다면 치아와 잇몸에 문제가 발생하기 쉽지요. 가철식 장치를 끼는 어린이는 식사 후에 반드시 칫솔질하고 장치도 세척한 후 끼어야 합니다. 고정식 장치를 사용하는 환자는 교정용 칫솔, 치간 칫솔, 치실 등을 이용하여 구강 청결을 유지하여야 하며, 칫솔을 항상 휴대하는 습관을 지니는게 좋습니다. 


또 한가지, 내원 약속을 잘 지키는 것이 중요합니다. 교정치료는 정교한 조절이 필수적인 치료입니다. 내원 간격이 어긋나면 생각하지 않은 치아의 이동이나 부작용도 생길 수 있습니다. 더불어 치료 기간 역시 처음 계획보다 길어질 수 있으므로, 정기적인 내원 및 예약 준수가 필수적이라 할 수 있습니다.


⑦ 교정치료는 아픈가요? 

교정치료를 받는 환자분들이 가장 힘들어하는 통증에 관한 부분입니다. 처음 교정 장치를 장착 후, 그리고 정기 내원 때마다 장치를 조절하고 나면 통증이 어김없이 찾아옵니다. 통증은 아름다운 치아 배열에 함께 따라오는 반갑지 않은 불청객입니다. 이 불청객의 실체를 낱낱이 파헤쳐봅시다. 

● 치아를 둘러싼 쿠션 ‘치주인대’ 

치아의 뿌리는 뼈와 직접적으로 맞닿아 있는 것이 아니라 ‘치주인대’라고 불리는 섬유성 탄력 인대로 둘러싸여 있으며, 치아에 저작력이나 혹은 그 외의 힘이 가해질 때 이 인대가 쿠션처럼 작용하여 충격을 완화시켜주는 역할을 합니다. 치주인대 안에는 영양을 공급해주는 혈관과 치아의 고유 감각을 느끼게 하는 신경이 존재합니다. 

● 교정력이 가해지면 

교정치료를 받게 되면 치아는 한쪽으로 힘을 받게 되고, 일정 시간이 지난 후 치주인대 내의 신경과 혈관이 압박을 받게 되면서 통증을 느끼게 됩니다. 딱딱한 음식을 세게 씹었을 때나 치아 사이에 큰 음식물이 끼었을 때 통증이 유발되고 불편감이 있는 것도 이처럼 치주인대가 일시적으로 눌려 그 내부의 신경이 압박을 받았기 때문입니다. 간혹 강한 교정력이 작용할 경우 치주인대의 압박으로 인해 국소적인 빈혈 부위가 생기고, 이러한 혈류량의 감소가 신경을 자극하는 대사물질을 발생시켜 통증을 유발할 수도 있습니다. 

● 치주인대의 두 얼굴 

이렇듯 교정치료 시 통증을 느끼게 하는 주범인 치주인대 내의 신경은 마냥 미워할 수만은 없는, 사실은 고마운 존재입니다. 치아 사이에 머리카락만 끼어도 이를 미세하게 인지해내는 이 신경이 없다면, 치아에 유해한 힘이 작용할 때 이를 인지하지 못해 치아를 보호해 줄 수 없습니다. 가령 신경이 없는 임플란트는 딱딱한 음식을 계속 씹어도 감각이 없기 때문에 지속적으로 과도한 힘을 받게 되어 임플란트가 부러지게 되는 상황이 생길 수도 있습니다. 

● 통증의 양상 

교정력이 적용되면 일반적으로 환자는 즉시 약간의 통증을 느끼거나 통증이 거의 없다가 수 시간이 지난 후 통증이 발생하기 시작합니다. 환자는 약한 통각을 느끼며 치아는 압력에 상당히 예민해져서 딱딱한 음식을 씹으면 아프게 됩니다. 이러한 통증은 전형적으로 2~4일간 지속되고 그 후 사라지게 됩니다. 그런 후 교정력이 반복적으로 가해질 때마다 반복적으로 발생하게 됩니다. 그러나 어느 형태의 통증이던지 통증을 유발하는 메커니즘은 매우 복잡하며 개인차가 상당히 심합니다. 

● “도저히 못 참겠는데 어떡하죠?” 

통증을 참는 것이 어려우면 약물의 도움을 받을 수도 있습니다. 아세트아미노펜 성분의 진통제는 아스피린이나 이부프로펜 계통의 진통제보다 중추적으로 작용하기 때문에 교정환자에게서는 더 좋은 진통제가 될 수 있습니다. 


⑧ 교정치료 환자의 올바른 치아관리법 
  • 교정치료를 받는 분들은, 복잡한 장치로 인해 음식물이나 치태(plaque)가 끼기 쉬우므로 치아우식증(충치)이나 치주질환(잇몸질환, 풍치)에 대해 더 세심한 관리가 필요합니다. 
  • 하루 세 번의 식사나, 간식을 드신 후에는 바로 칫솔질을 하셔야 합니다. 
  • 교정환자용 칫솔, 치간 칫솔, 치실(floss) 등을 이용하며, 거울을 보면서 꼼꼼하게 칫솔질을 하는 것이 좋습니다. 칫솔질 후에는 불소 용액으로 양치를 하거나, 워터픽(waterpik-물총 모양의 양치 기구)을 사용하는게 도움이 됩니다. 
  • 아동의 경우, 교정치료 이전에 불소도포 등이 충치 예방에 도움이 됩니다.

▼ 웃는내일치과 유튜브에서 영상을 통해 상세한 설명을 확인하실 수 있습니다.